xCAT IQ
CBCT-kuvauslaite neurokirurgiaan ja tehostetun hoidon osastoille
Siirrettävä CT-kuvauslaite leikkaussaleihin
xCAT IQ tuo diagnostiikkatason CT-kuvauksen suoraan leikkaussaleihin.
Sen ansiosta potilasta ei tarvitse lähettää välillä röntgenosastolle ja kallisarvoista aikaa säästyy.
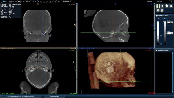
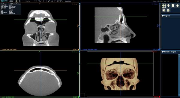
xCAT IQ -kuvauslaite voidaan siirtää suoraan potilaan luokse, kun leikkauksen tueksi tarvitaan CT-kuvia. Kuvien ottamiseen menee alle minuutti, ja ne ovat käytössä heti.
Laitteessa on kevyesti vierivät pyörät, ja pienen kokonsa ansiosta sitä voi säilyttää leikkaussalissa koko ajan.
Pieni säteilyannos ja silti erittäin hyvä kuvanlaatu
xCAT IQ on tyypiltään Cone Beam Scanner, ja sen tuottama säteilyannos on pieni.
Annoksen pienuudesta huolimatta laite ottaa tarkkoja kuvia esim. aivoista, onteloista, kallonpohjasta, korvista sekä kraniomaksillofaskiaalista vaurioista.
Ohjelmiston käyttäminen on helppoa, ja laitteen suuri pystytuki kääntyy 360 astetta potilaan pään ympärillä. Tämän ansiosta laitteella saa enemmän ja parempia kuvia.
Aika on ratkaisevan tärkeä tekijä. xCAT IQ:n avulla voit:
- varmistaa istutteiden asennon.
- välttää jonotuksen perinteiseen CT-kuvaukseen.
- tehdä intraoperatiiviset säädöt heti.
- arvioida ja säätää korvasimpukkaistutteet suoraan leikkaussalissa.
- ottaa postoperatiiviset kuvat heti toimenpiteen jälkeen, jolloin jatkotoimenpiteiden tarve on usein pienempi.

Siirrettävä CT-laite tehostetun hoidon osastoille
Potilaan vuoteen viereen siirrettävä CT-laite helpottaa hoitoa merkittävästi. Kuvaaminen xCAT IQ:lla antaa muutamassa minuutissa käyttöön tiedot hänen tilastaan.
Vastaukset ennennäkemättömän nopeasti
Mikäli potilaan neurologinen status muuttuu nopeasti, sen syy: aivoverenvuoto, ödeema tai kenties hydrokefalia, on selvitettävä mahdollisimman pian. xCAT IQ:n avulla vastauksen saa muutamassa minuutissa.
Lisäksi huonokuntoista potilasta ei tarvitse kuljettaa röntgenosastolle. CT-laitteen tuominen leikkaussaliin säästää aikaa merkittävästi.
xCAT IQ antaa tärkeää kliinistä tietoa, jonka avulla potilaan tilan arviointi ja lisähoitojen suunnittelu nopeutuu.
Erittäin pieni säteilyannos soveltuu pediatriaan
xCAT IQ soveltuu erityisen hyvin lasten tehostettuun hoitoon, jossa nopeus ja säteilyannosten koko ovat ratkaisevan tärkeitä.
Related products
xCAT IQ
Produkt no.
€ 40,00



